Savannah’s Quiet Feline Crisis: Your Cat May Have Pancreatitis
Unfortunately, cats in Georgia (including Savannah and Pooler) and the South Carolina Lowcountry (including Bluffton and Hilton Head Island) are not spared from pancreatitis, a common inflammatory disease of the pancreas. While it was once considered a rare feline disease, it’s now known to be actually quite common, though often difficult to diagnose because the symptoms can be vague and mimic other conditions. Understanding this condition is key for cat owners to know when to seek veterinary care and what to expect during diagnosis and treatment.
What Is the Pancreas?
The pancreas is a small, V-shaped organ near your cat’s stomach and small intestine. It’s has two main jobs:
- Digestion: It produces digestive enzymes that break down food.
- Hormones: It produces hormones like insulin that regulate blood sugar.
Pancreatitis is inflammation of the pancreas.
Acute versus Chronic Pancreatitis
Pancreatitis is inflammation of the pancreas. In cats, this inflammation can be either acute (a sudden, severe episode, can be life-threatening) or chronic (a persistent, low-grade condition).
What Causes Pancreatitis in Cats?
In most patients — about 95% — the cause of feline pancreatitis is unknown, which is called idiopathic. This is a major difference from dogs, where pancreatitis is often triggered by a high-fat meal. In cats, fatty diets don’t appear to be a significant risk factor (cats are carnivores and require fat in their diet). Here are possible factors:- Trauma: Accidents such as being hit by car or a fall from a high place (“high-rise syndrome”).
- Infections (Local Risk): Certain viruses or parasites can be the cause. For Coastal Georgia and Lowcountry outdoor cats, a specific concern is parasitic flukes (biliary flukes).
- Concurrent Diseases: Pancreatitis frequently occurs alongside other conditions:
- Inflammatory bowel disease (IBD)
- Liver disease (hepatic lipidosis, hepatitis)
- Cholangitis (bile duct inflammation)
- Diabetes
- Exocrine Pancreatic Insufficiency (EPI)
Feline Triaditis: Triple The Trouble
If your cat has chronic pancreatitis, you may hear about Triaditis, which is a syndrome involving the simultaneous inflammation of three nearby organs:
- Pancreas (Pancreatitis)
- Liver/Bile Duct (Cholangitis)
- Small Intestine (Inflammatory Bowel Disease or IBD)
Inflammation in one organ often affects the others due to a unique feline anatomy feature which is not recognized in dogs.
The Sneaky Symptoms of Pancreatitis
This is where feline pancreatitis can be especially tricky. While dogs might show clear signs of abdominal pain, nausea and vomiting, cats are masters at hiding discomfort. Their symptoms are often vague and can mimic many other illnesses.
Common symptoms include:
- Lethargy, Tiredness: This is one of the most frequent signs in sick cats.
- Anorexia: A significant loss of appetite or refusal to eat.
- Hiding: Cats naturally retreat and hide (e.g., in the closet) when they are feeling ill.
- Weight loss: Often associated with chronic (long-term) pancreatitis.
- Vomiting: While common in dogs, vomiting is less frequent in cats with this condition.
- Dehydration: A serious complication resulting from lack of fluid intake.
- Hypothermia: A low body temperature can be a sign of a severe inflammation.
At Savannah Veterinary Internal Medicine, cats who we diagnose with chronic pancreatitis commonly have been displaying very subtle and sometimes easily dismissed symptoms, including hiding behavior, finicky appetite, vomiting (especially food, green/yellow bile) and weight loss. If your cat is showing similar symptoms, they may have chronic pancreatitis and may benefit from a consultation with one of our specialists.
Feline Pancreatitis is Much More Common Than Previously Thought
A University of California study revealed that a surprisingly large number of seemingly healthy cats had inflamed pancreases. Over 66% of the studied cats had some form of pancreatitis, most of which was chronic. This suggests many cats may be living with an undiagnosed mild form of the disease, a testament to how well cats hide their illness.
How Is Feline Pancreatitis Diagnosed?
Diagnosing pancreatitis in cats can be a challenge. A physical exam, routine blood work, are all part of the puzzle, but don’t always tell the whole story. Often, these rule out other causes of the symptoms, and don’t necessarily diagnose pancreatitis itself.
Blood Work: In cat’s, blood amylase and lipase levels are not reliable for diagnosing pancreatitis. Instead, a specialized blood test called a feline pancreatic lipase immunoreactivity (fPLI) assay — which provides rapid results through the in-house testing available at Savannah Veterinary Internal Medicine — has become the standard. The fPLI test measures lipase enzyme produced by the pancreas, and a high result is an indicator of pancreatitis. It is important to remember that the inflammation of chronic pancreatitis in cats can wax and wane. Therefore, a normal fPLI result does not always rule out the disease, particularly in cats with a history of chronic symptoms.
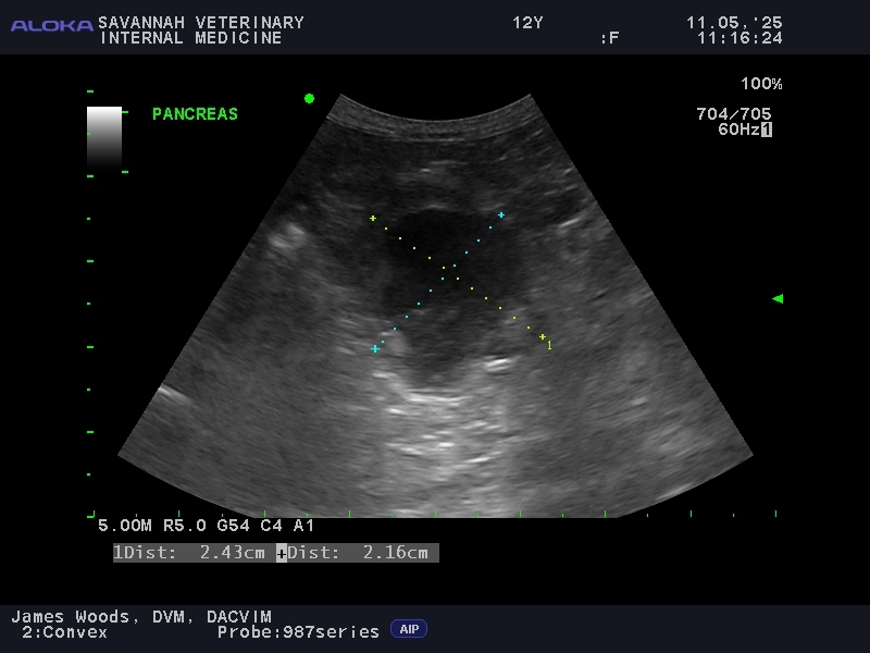
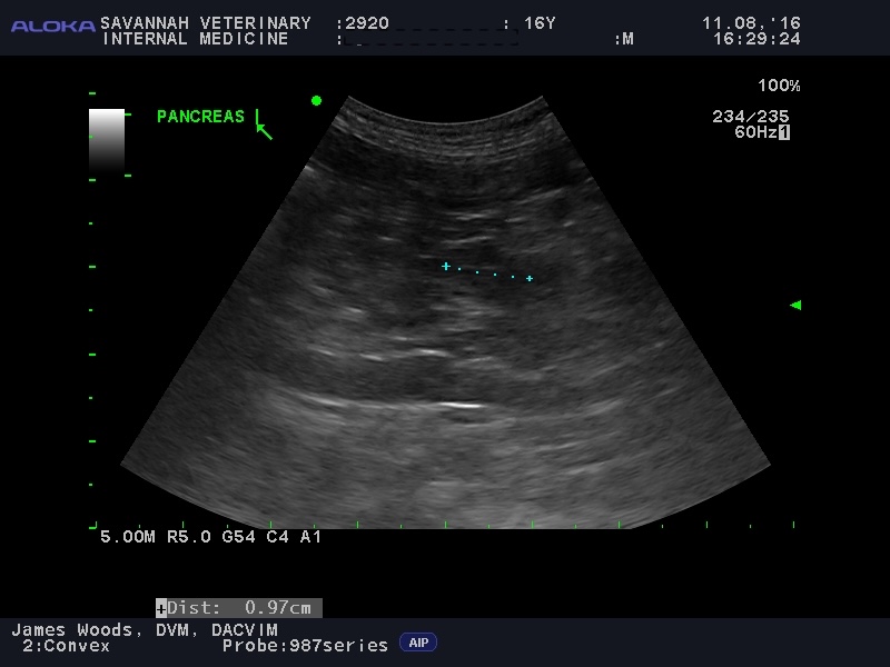
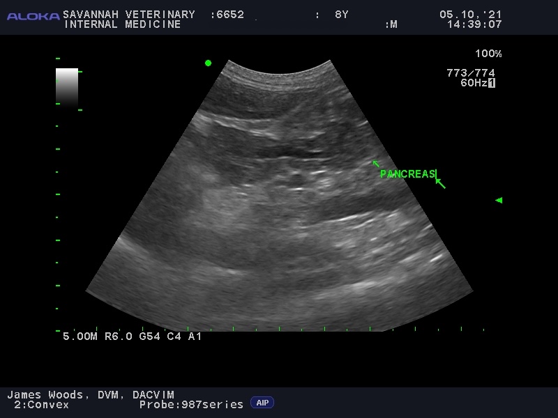
Visualizing The Pancreas: For the diagnosis of feline pancreatitis, an abdominal ultrasound is an important diagnostic tool. While X-rays are typically not very useful, ultrasound provides a non-invasive way to visualize the pancreas. The accuracy of ultrasound is highly dependent on the skill of the operator, as the pancreas can be difficult to locate and assess in cats. At Savannah Veterinary Internal Medicine, our team performs detailed ultrasounds to help identify pancreatitis, even in subtle cases. Even more so than the fPLI test, ultrasound may be normal in cats with mild, or chronic pancreatitis.
To illustrate this diagnostic challenge, the appearance of the pancreas on ultrasound varies significantly between different forms of the disease:
Acute vs. Chronic Feline Pancreatitis Ultrasound Images:
Recognize the varied imaging features of the inflamed feline pancreas, where acute and chronic forms present with distinct ultrasonographic changes.
Treatment and Management: A Focus on Supportive Care
Unfortunately, there’s no single “cure” for feline pancreatitis. The primary goal of treatment is to provide supportive care to manage symptoms and allow the pancreas to heal.
- Fluid Therapy: Crucial for correcting dehydration and electrolyte imbalances. Fluids are given intravenously (IV) or subcutaneously (Sub-Q) for milder cases.
- Pain Management: Pancreatitis is painful, even if signs are subtle. Pain medication is necessary for comfort and humane treatment.
- Anti-Nausea Medication:
- Controlling nausea and vomiting is essential to encourage your cat to eat. Untreated nausea commonly leads to food aversion and anorexia.
- Repeated vomiting increases the risk for esophageal stricture.
- Nutritional Support:
- Vital to prevent hepatic lipidosis (fatty liver disease). If your cat won’t eat on their own, a feeding tube may be necessary.
- Unlike dogs, cats with pancreatitis don’t need a special low-fat diet since they are carnivores and fat is an essential part of their diet. The focus is on getting them to eat a highly digestible food.
- Vitamin B12 Supplementation: Often needed because chronic pancreatitis can lead to B12 deficiency, especially with concurrent Inflammatory Bowel Disease (IBD) or Exocrine Pancreatic Insufficiency (EPI).
The Long-Term Impact of Pancreatitis
Acute pancreatitis can be scary and require intensive care, and it’s important to understand its long-term effects. Severe inflammation can cause irreversible changes in the pancreas, leading to chronic pancreatitis, a condition with permanent damage and scarring. Even if your cat recovers from an acute attack, underlying inflammation may persist, becoming a lifelong, low-grade issue (chronic pancreatitis).
Chronic pancreatitis can lead to other serious, long-term health problems:
- Diabetes Mellitus: When the inflammatory damage affects the parts of the pancreas that produces insulin, it can result in diabetes.
- Exocrine Pancreatic Insufficiency (EPI): If the cells that produce digestive enzymes are severely damaged, your cat’s body won’t be able to properly break down and absorb nutrients from food. This can lead to persistent weight loss, diarrhea, and vitamin B12 deficiency, even if they are eating well.
The goal of pancreatitis treatment isn’t just to manage the current crisis but to mitigate the long-term progression of the disease and prevent these complications.
The Outlook
The chance of recovery for cats with pancreatitis is dependent on factors such as severity of the inflammation, concurrent illnesses, and how quickly treatment is started. Chronic, milder cases can often be managed long-term (sometime life-long), while a severe acute attack can be life-threatening. Early diagnosis and a proactive approach to supportive care are the best ways to improve the outcome for your cat.
Seeking Pancreatitis Diagnosis and Care in Coastal Georgia, Pooler and the Lowcountry
If your cat is showing symptoms of pancreatitis, please don’t hesitate to seek veterinary care. At Savannah Veterinary Internal Medicine, our specialists have extensive experience diagnosing and treating feline pancreatitis. We are dedicated to providing a timely diagnosis and effective treatment plan for cats throughout the entire Coastal Georgia region, including Savannah, Pooler, Richmond Hill, and the South Carolina Lowcountry communities of Bluffton and Hilton Head Island. Please contact us if you have concerns about your cat’s health or would like to schedule a consultation with one of our specialists.

Author:
James Woods DVM, MS, DACVIM (SAIM)
Ph: (912) 721-6410
Contact Us
